Skip to content Skip to sidebar Skip to footer

Abszess Am Zahnfleisch Behandlung

Abszess Im Mund Am Zahnfleisch Behandlung

Abszess Im Mund Am Zahnfleisch Behandlung

Abszess am zahnfleisch behandlung. Abszess am Zahnfleisch mit Hausmitteln bekämpfen. Nicht behandelte Abszesse am Zahn verursachen oft schwer lokalisierbare große Schmerzen und Schwellungen. Abszess am Zahn.

Ein altes Naturheilmittel gegen Abszess im Mund am Zahn und am Kiefer ist Knoblauch Ein Abszess das ist eine Ansammlung von Eiter im Gewebe aufgrund einer bakteriellen Infektion. Regime indem zu ihm einen Vitaminkomplex erweitert werden können -. Ein Abszess am Zahnfleisch.

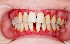
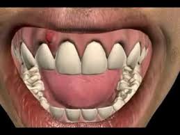
Abszesse am Zahnfleisch können nach größeren zahnärztlichen Behandlungen entstehen zum Beispiel nach einer Wurzelbehandlung oder infolge eines abgestorbenen Zahns. Je nach Ausmaß und Schweregrad des Abszesses wird der Eingriff vom Hausarzt oder von einem Chirurgen durchgeführt. Ein Abszess am Zahnfleisch ist besonders schmerzhaft.

So Wundheilung geht viel schneller und Qualität. Danach wird der Bereich mit einer Salzlösung gereinigt. Ein Abszess am Zahnfleisch ist bitter und schmerzhaft.

Abszesse treten meistens an der Zahnwurzel oder zwischen den Zähnen im Zahnfleisch auf. Um die Entwicklung eines Abszesses am Zahnfleisch eines Sohnes oder einer Tochter zu verhindern wird empfohlen. Ernsthafte Medikamente verschreiben - es kann mit Antibiotika Antiseptika und entzündungshemmende Mitteln Analgetika behandelt werden usw.

Beispielsweise ist der Hautarzt der richtige Ansprechpartner wenn es sich um eine Entzündung handelt die an einer Haarwurzel entstanden ist. Wenn der Abszess sichtbar ist also du eine Beule am Zahnfleisch neben dem Zahn sehen und fühlen kannst kann dein Zahnarzt den Zahn nicht gleich. Manchmal kommt es noch zu Entzündungen.

Die Behandlung bezweckt die Infektion zu bekämpfen wobei je nach Fall folgende Maßnahmen erforderlich sein können. Eine Antibiotika Therapie ist oft nicht nötig solange sich die Erreger nicht in das umliegende Gewebe ausgebreitet haben.

Abszess Am Zahn Ursachen Beschwerden Therapie Gesundpedia De

Abszess Am Zahn Ursachen Beschwerden Therapie Gesundpedia De

Abszess Im Mund Am Zahnfleisch Behandlung

Abszess Im Mund Am Zahnfleisch Behandlung

Abszess Im Mund Am Zahnfleisch Behandlung

Abszess Im Mund Am Zahnfleisch Behandlung

Medikamente Gegen Eine Zahnfleischentzundung

Medikamente Gegen Eine Zahnfleischentzundung

Der Kranke Zahn Ein Gefahrlicher Streuherd

Der Kranke Zahn Ein Gefahrlicher Streuherd

Wie Gefahrlich Sind Fisteln Im Mund Apotheken Umschau

Wie Gefahrlich Sind Fisteln Im Mund Apotheken Umschau

Komplikationen Wahrend Und Nach Der Zahnarztlichen Prophylaxe Zwp Online Das Nachrichtenportal Fur Die Dentalbranche

Komplikationen Wahrend Und Nach Der Zahnarztlichen Prophylaxe Zwp Online Das Nachrichtenportal Fur Die Dentalbranche

Dicke Backe Was Tun Ursachen Behandlung Abszesse Und Zahnfleisch Dass Plotzlich Dick Wird Muhlheimdental

Dicke Backe Was Tun Ursachen Behandlung Abszesse Und Zahnfleisch Dass Plotzlich Dick Wird Muhlheimdental

Zysten Im Zahnfleisch Oder Kiefer Was Tun

Zysten Im Zahnfleisch Oder Kiefer Was Tun

10 Naturliche Heilmittel Gegen Abszesse Im Mund Tips Body Healthy

10 Naturliche Heilmittel Gegen Abszesse Im Mund Tips Body Healthy

Abszess Ursachen Behandlung Vorbeugung

Abszess Ursachen Behandlung Vorbeugung

Einschneiden Von Abszessen Cichon Dental Centre

Einschneiden Von Abszessen Cichon Dental Centre

Abszesse

Abszesse

Wie Entstehen Abszesse Im Mundraum Completdent De

Wie Entstehen Abszesse Im Mundraum Completdent De

Beule Am Zahnfleisch

Beule Am Zahnfleisch

Pickel Am Zahnfleisch Zahnfistel Gefahrlich Oder Doch Harmlos

Pickel Am Zahnfleisch Zahnfistel Gefahrlich Oder Doch Harmlos

Kieferabszess Ursachen Symptome Behandlung

Kieferabszess Ursachen Symptome Behandlung

Fisteln Werden Durch Keime Ausgelost Centrum Zahn

Fisteln Werden Durch Keime Ausgelost Centrum Zahn

Weisheitszahne Vorsicht Vor Abszessen Zahnarztzentrum Ch Blog

Weisheitszahne Vorsicht Vor Abszessen Zahnarztzentrum Ch Blog

Wann Muss Bei Einem Abszess Der Zahn Gezogen Werden

Wann Muss Bei Einem Abszess Der Zahn Gezogen Werden

Dicke Backe Ursachen Hausmittel Behandlung Das Hilft

Dicke Backe Ursachen Hausmittel Behandlung Das Hilft

Abszess Am Zahn Ursachen Und Behandlungsmoglichkeiten Besser Gesund Leben

Abszess Am Zahn Ursachen Und Behandlungsmoglichkeiten Besser Gesund Leben

Behandeln Abszess Stockfotos Und Bilder Kaufen Alamy

Behandeln Abszess Stockfotos Und Bilder Kaufen Alamy

1

1

Was Ist Ein Zahnabszess Zahnfleisch Abszess Youtube

Was Ist Ein Zahnabszess Zahnfleisch Abszess Youtube

Zahnentzundung Alles Zu Symptomen Ursachen Und Behandlung

Zahnentzundung Alles Zu Symptomen Ursachen Und Behandlung

Fistel Am Zahnfleisch

Fistel Am Zahnfleisch

Abszess Hausmittel Abszess Offnen Abszesswunde Pflegen Medica Apotheke Kiel

Abszess Hausmittel Abszess Offnen Abszesswunde Pflegen Medica Apotheke Kiel

Milchzahn Unter Eiter Wie Helfe Ich Meinem Kind Dentalplanet

Milchzahn Unter Eiter Wie Helfe Ich Meinem Kind Dentalplanet

Was Ist Zahnfluss Zahnklinik Dudko Und Sohne

Was Ist Zahnfluss Zahnklinik Dudko Und Sohne

Aphthen Schmerzhafte Blaschen Im Mund Gesundheitsportal

Aphthen Schmerzhafte Blaschen Im Mund Gesundheitsportal

Abszess Ursachen Behandlung Verlauf Onmeda De

Abszess Ursachen Behandlung Verlauf Onmeda De

Ein Abszess Im Mund Mit Zahnabszess Salbe Behandeln

Ein Abszess Im Mund Mit Zahnabszess Salbe Behandeln

Abszess Am Zahn Ursachen Beschwerden Therapie Gesundpedia De

Abszess Am Zahn Ursachen Beschwerden Therapie Gesundpedia De

Die Richtige Pflege Fur Gereiztes Zahnfleisch Cocooncenter

Die Richtige Pflege Fur Gereiztes Zahnfleisch Cocooncenter

Abszess Hausmittel Abszess Offnen Abszesswunde Pflegen Medica Apotheke Kiel

Abszess Hausmittel Abszess Offnen Abszesswunde Pflegen Medica Apotheke Kiel

Behandlung Mit Ultraschall

Behandlung Mit Ultraschall

Zahnentzundung Alles Zu Symptomen Ursachen Und Behandlung

Zahnentzundung Alles Zu Symptomen Ursachen Und Behandlung

Abszesse

Abszesse

Zahnabszess Dr Jamilian

Zahnabszess Dr Jamilian

Aphten Oder Aphthen Schmerzhafte Blaschen Am Zahnfleisch

Aphten Oder Aphthen Schmerzhafte Blaschen Am Zahnfleisch

Ursachen Von Zahnfleischerkrankungen Und Parodontitis Chlorhexamed

Ursachen Von Zahnfleischerkrankungen Und Parodontitis Chlorhexamed

Abszess Im Rachen

Abszess Im Rachen

Parodontitisvektor Rezession Zahnfleisch Behandlung Zahnmedizin Zahnheilkunde Konzept Stock Vektor Art Und Mehr Bilder Von Abszess Istock

Parodontitisvektor Rezession Zahnfleisch Behandlung Zahnmedizin Zahnheilkunde Konzept Stock Vektor Art Und Mehr Bilder Von Abszess Istock

Abszess Am Zahnfleisch

Abszess Am Zahnfleisch

Dicke Backe Was Tun Ursachen Behandlung Abszesse Und Zahnfleisch Dass Plotzlich Dick Wird Muhlheimdental

Dicke Backe Was Tun Ursachen Behandlung Abszesse Und Zahnfleisch Dass Plotzlich Dick Wird Muhlheimdental

Parodontitis Wikipedia

Parodontitis Wikipedia

Allgemein Archive Muhlheimdental

Allgemein Archive Muhlheimdental

Https Encrypted Tbn0 Gstatic Com Images Q Tbn And9gcrj5rlroc Gaiblf Bafiz4l115o Sko6p Xbu Aokiliekqp1j Usqp Cau

Https Encrypted Tbn0 Gstatic Com Images Q Tbn And9gcrj5rlroc Gaiblf Bafiz4l115o Sko6p Xbu Aokiliekqp1j Usqp Cau

Regime indem zu ihm einen Vitaminkomplex erweitert werden können -.

Abszesse am Zahnfleisch können nach größeren zahnärztlichen Behandlungen entstehen zum Beispiel nach einer Wurzelbehandlung oder infolge eines abgestorbenen Zahns. Um auf die Hygiene der Mundhöhle zu achten beginnend mit dem Durchbruch der ersten Zähne. Regime indem zu ihm einen Vitaminkomplex erweitert werden können -. Um die Entzündung in Abszess Zahnfleisch zu lindern unbedingt Dr. So Wundheilung geht viel schneller und Qualität. In diesem Fall ist ein kleiner Einschnitt notwendig um den Eiter zu entfernen. Meist ist der Schmerz nicht allzu hoch der Druck dafür umso höher sodass man. Danach wird der Bereich mit einer Salzlösung gereinigt. Ein Abszess ist ein in sich geschlossener Entzündungsherd und kapselt sich vom umliegenden Gewebe ab und muss chirurgisch geöffnet werden.


Beispielsweise ist der Hautarzt der richtige Ansprechpartner wenn es sich um eine Entzündung handelt die an einer Haarwurzel entstanden ist. Die Behandlung eines Abszess Das sind mögliche Therapiemaßnahmen bei einem Abszess Die wichtigste Behandlung des Abszess ist immer die Eröffnung des Abszess mit Entleerung des Eiters. Beispielsweise ist der Hautarzt der richtige Ansprechpartner wenn es sich um eine Entzündung handelt die an einer Haarwurzel entstanden ist. Eine Antibiotika Therapie ist oft nicht nötig solange sich die Erreger nicht in das umliegende Gewebe ausgebreitet haben. Um die Entzündung in Abszess Zahnfleisch zu lindern unbedingt Dr. Ein Abszess am Zahnfleisch. Spezielle Hausmittel fürs Zahnfleisch und im Mundbereich Für Abszesse im Mundbereich bieten sich vor allem die Hausmittel an die auch bedenkenlos essbar sind da immer auch ein Teil verschluckt werden kann.

Post a Comment for "Abszess Am Zahnfleisch Behandlung"